Zirkon und mehr – unsere Materialien
Zahnwerk verarbeitet nur Materialien annerkannter Markenhersteller, die ihre Produkte unter den geltenden
deutschen Medizin- und Qualitätsanforderungen produzieren.
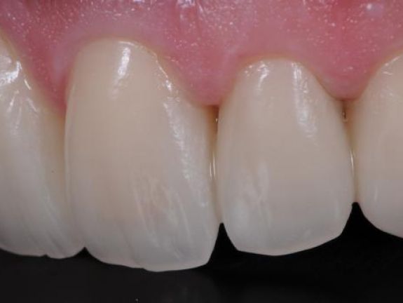
priti®multidisc ZrO₂ Multi Translucent PLUS Zirkon (mit Farbverlauf)
Für höchste Ansprüche
„Was macht priti®multidisc ZrO2 Multi Translucent PLUS so besonders?“ Dem Trend folgend, ein Rohling der im Schmelz und im Körper die positiven Eigenschaften der bereits etablierten Zirkonoxidqualitäten 4Y-TZP und dem hochtransluzenten 5Y-TZP vereint.
Für alle Indikationen
Unser neues Multi-Talent ist für alle Indikationen einsetzbar. Hochästhetische monolithische, vollanatomische Kronen, Teilkronen und Brücken bis zu 14 Gliedern, Inlays, Onlays, Veneers und Abutments. Durch die hohe Ästhetik eignet es sich besonders für den vorderen und sichtbaren Zahnbereich. Alle Verarbeitungstechniken: Mal-, Cut-Back- und Verblendtechnik sind möglich.
Natürlicher Farb- und Transluzenzverlauf
Durch die Kombination aus 4Y (Extra Translucent mit hoher Festigkeit) und 5Y (High Translucent mit hoher Transluzenz) entstehen Verbesserungen bei der ästhetischen Wirkung und Sicherheit für einen uneingeschränkten Indikationsbereich von Restaurationen. Neben einem sanftem Übergang zwischen den Schichten innerhalb der Ronde bzw. Restauration konnten wir eine verbesserte Ästhetik in Bezug zum Vita Classical Shade Guide erzielen.
Stufenlose Festigkeit
Durch den sanftem Übergang zwischen den Schichten ergibt sich eine stufenlose Festigkeit innerhalb der Ronde bzw. der Restauration. Somit ist Multi Translucent PLUS für fast alle Indikationen geeignet.

Schichtverlauf von Pritidenta Multitransluzent Plus
Zusammengefasst:
• Vorteile des 4Y (Extra Translucent mit hoher Festigkeit und des 5Y (High Translucent mit optimaler Transluzenz) in einem Rohling verbunden
• Zervikal opak abdeckende Eigenschaften
• Stufenloser Übergang ins Dentin
• Zunehmende Transluzenz bei der Überleitung in den Schneidebereich von > 800 MPa in allen Schichten
• Sehr hohe Ästhetik für gehobene Ansprüche
Material:
• Zirkoniumdioxid, Typ II, Klasse 5 nach DIN EN ISO 6872
• Biegefestigkeit: typischer Mittelwert ≥ 1.100 MPa
• Transluzenz-Verlauf von > 45 % bis > 49 %
• Präzise Ränder und Kanten durch hochverdichtetes
• Verblendung ist mit jeder Keramikmasse möglich, die auf den WAK 10,5 ± 0,5 ·10-6 · K-1 von ZrO₂ abgestimmt ist
• Stets reproduzierbare Farben
priti®multidisc ZrO2 multicolor Extra Translucent Zirkon ( mit Farbverlauf )
priti®multidisc ZrO2 Extra Translucent ist das flexibelste Zirkondioxid für alle Indikationen – ein echter Allrounder.
Es vereint Stärke und Ästhetik – das echte und naturgetreue Zirkondioxid Ihrer Wahl.
(4Y-TZP) in 7 Farbverläufen und 1 Bleachfarbe verfügbar. Damit können alle 16 Vita-Farben reproduziert werden.
45 % Transluzenz, Biegefestigkeit > 1.150 MPa.
Mit priti®multidisc ZrO2 multicolor Extra Translucent fertigen Sie Inlays, Onlays, Veneers, Teilkronen, monolithisch-vollanatomische und teil- oder vollverblendete Kronen und Brücken (bis 16 Glieder) sowie individuelle Aufbauten für den Front- und Seitenzahnbereich auf natürlichen Zahnpfeilern und Implantaten. Die Besonderheit liegt in dem ausgewogenen Verhältnis von gleichzeitig vergleichsweise hoher Lichtdurchlässigkeit und Biegefestigkeit. Damit empfiehlt sich das Material vorbehaltlos und flexibel für ein besonders breites Indikationsspektrum.
Indikationen:
- Sehr ästhetische monolithische / vollanatomische Kronen, Teilkronen und Brücken bis zu 16 Gliedern,
- Suprakonstruktionen
- Sehr zu empfehlen für teil- oder vollverblendete ästhetische Arbeiten
Material:
- Zirkoniumdioxid Typ II, Klasse 5 nach DIN EN ISO 6872
- Hohe Festigkeit von > 1.150 MPa Biegefestigkeit
- Hohe Transluzenz von 45%
- Hohe Ästhetik
- Gute Alterungsbeständigkeit
- Dünne Wandstärken im Frontzahnbereich 0,4 mm
- und Seitenzahnbereich 0,6 mm bei Einzelkronen
- Biokompatibel
priti®multidisc ZrO2 – Translucent Zirkon (16 Vita-Farben)
Das priti®multidisc ZrO2 Farbkonzept garantiert homogen durchgefärbte Rohlinge. Für eine zuverlässige und reproduzierbare Farbsicherheit, Ronde für Ronde in gleichbleibender Qualität.
Die voreingefärbten priti®multidisc ZrO2 Ronden gewährleisten eine konstante Farbgebung und hohe Prozesssicherheit. Dank der homogenen Durchfärbung des Materials entstehen auch bei Nachbearbeitung der Restauration keine weißen Flecken die das Ergebnis optisch beeinträchtigen.
Grundsätzlich weist voreingefärbtes Zirkoniumdioxid signifikant bessere Transluzenzwerte auf als mit Färbeflüssigkeiten bearbeitete Zirkoniumdioxid-Materialien.
Für die individuelle Verblendung von Gerüsten aus priti®multidisc ZrO2 können alle für Zirkoniumdioxid geeigneten Schichtkeramiken verwendet werden, auch niedrigschmelzende Verblendmassen.
Indikationen:
- Sehr ästhetische monolithische / vollanatomische Kronen, Teilkronen und Brücken bis zu 16 Gliedern,
- Suprakonstruktionen
- Sehr zu empfehlen für teil- oder vollverblendete hohe ästhetische Arbeiten
Material:
- Zirkoniumdioxid Typ II, Klasse 5 nach DIN EN ISO 6872
- Hohe Festigkeit von > 1.100 MPa Biegefestigkeit
- Hohe Transluzenz von 40%
- Hohe Ästhetik
- Gute Alterungsbeständigkeit
- Dünne Wandstärken im Frontzahnbereich 0,4 mm
- und Seitenzahnbereich 0,6 mm bei Einzelkronen
- Biokompatibel
priti®multidisc ZrO2 – Opaque Zirkon (8 Vita-Farben)
Das priti®multidisc ZrO2 Farbkonzept garantiert homogen durchgefärbte Rohlinge. Für eine zuverlässige und reproduzierbare Farbsicherheit, Ronde für Ronde in gleichbleibender Qualität.
Die voreingefärbten priti®multidisc ZrO2 Ronden gewährleisten eine konstante Farbgebung und hohe Prozesssicherheit. Dank der homogenen Durchfärbung des Materials entstehen auch bei Nachbearbeitung der Restauration keine weißen Flecken die das Ergebnis optisch beeinträchtigen.
Grundsätzlich weist voreingefärbtes Zirkoniumdioxid signifikant bessere Transluzenzwerte auf als mit Färbeflüssigkeiten bearbeitete Zirkoniumdioxid-Materialien.
Für die individuelle Verblendung von Gerüsten aus priti®multidisc ZrO2 können alle für Zirkoniumdioxid geeigneten Schichtkeramiken verwendet werden, auch niedrigschmelzende Verblendmassen.
Indikationen:
- Käppchen und Gerüste bis zu 16 Gliedern
- teil- oder vollverblendete Gerüstkonstruktionen
- Suprakonstruktionen
- Zu empfehlen zum Abdecken von verfärbten Stümpfen oder Metallkonstruktionen
Material:
- Zirkoniumdioxid Typ II, Klasse 5 nach DIN EN ISO 6872
- Hohe Festigkeit von > 1.150 MPa Biegefestigkeit
- Transluzenz von 35%
- Gute Alterungsbeständigkeit
- Dünne Wandstärken im Frontzahnbereich 0,4 mm
- und Seitenzahnbereich 0,6 mm bei Einzelkronen
- Biokompatibel
KATANA™ Zirkon UTML Ultra Translucent Multi Layered
KATANA™ Zirconia ist ein glasähnliches transluzentes Zirkon, das die Anforderungen an höchste Transluzenz für Frontzahnkronen und Veneers erfüllt. KATANA™ Zirconia UTML ist so transluzent, dass die ursprüngliche Zahnfarbe durchscheinen kann. So werden natürliche Farbergebnisse erreicht. Veneers und Frontzahnrestaurationen lassen sich jetzt also auch aus Zirkonoxid herstellen. Untersuchungen bestätigen die überdurchschnittliche Transluzenz im Vergleich zu anderen Materialien. So zeigte KATANA™ Zirconia UTML sogar über alle Schichten eine höhere Transluzenz als IPS e.max CAD LT. Der integrierte Farbverlauf unterstützt zusätzlich das natürliche Aussehen. Diese neue wirtschaftliche und dennoch ästhetische Alternative sollte bei der nächsten Veneer-Planung mit berücksichtigt werden. Die Transparenz des natürlichen Zahnschmelzes wird kopiert und die Stumpffarbe wird aufgenommen.
ZAHNWERK liefert das KATANA™ Zirconia UTML in den Farben A1, A2, A3,5 ,B2, C2, D2. Durch unterschiedliche Höhenpositionierung im Blanc sind auch hellere Farben wie B1 oder z.B. dunklere wie D3 möglich.
Da die Biegefestigkeit von KATANA™ Zirconia UTML mit 557 MPa etwa 30 Prozent höher ist, als die von Lithiumdisilikat, kann es zuverlässig zur Herstellung von dauerhaften und ästhetischen Einzelrestaurationen eingesetzt werden.
IPS e.max® ZirCAD Prime Multilayer Zirkon
IPS e.max ZirCAD Prime
ist eine Zirkonoxid-Scheibe mit integrierter Gradient Technology zur Herstellung von Restaurationen mit herausragender Qualität.
- ist eine Zirkonoxid-Scheibe mit integrierter Gradient Technology zur Herstellung von Restaurationen mit herausragender Qualität.
- Das revolutionäre Material steht für höchste Flexibilität. Geeignet für alle Indikationen und Verarbeitungstechniken.
- Stufenloser Farbverlauf und optimierte Transluzenz.
- IPS e.max ZirCAD Prime ist in 16 A–D- und 4 BL-Farben erhältlich.
- Sehr hohe biaxiale Biegefestigkeit von 1200 MPa* und einer Bruchzähigkeit von > 5 MPa · m1/2**
IPS e.max ZirCAD Prime definiert Vollkeramik neu. Das revolutionäre Material steht für höchste Qualität und Ästhetik. Ermöglicht wird dies durch die Gradient Technology – einer innovativen Prozesstechnologie, die in der Herstellung zur Anwendung kommt. Sie ist der Schlüssel zur Premium-Qualität.
Das Ergebnis: Ein Zirkonoxid, das bemerkenswerte Eigenschaften in einem Material vereint.
Der stufenlose, schichtfreie Farb- und Transluzenzverlauf und eine optimierte Transluzenz sorgen für eine beeindruckende High-end-Ästhetik, vergleichbar mit Lithium-Disilikat. Das Material beeindruckt ausserdem mit einer präzisen Farbgebung.
Durch seine sehr hohe biaxiale Biegefestigkeit von 1200 MPa* und einer Bruchzähigkeit von > 5 MPa · m1/2 ** ist IPS e.max ZirCAD Prime für alle Indikationen – von der Einzelzahnkrone bis zur 14-gliedrigen Brücke – geeignet.
Das Material kann mit allen Verarbeitungstechniken angewendet werden und bringt so maximale Flexibilität.
Scheftner Starbond CoS Pulver 30
Aufbrennfähige Nichtedelmetall-Dental-Legierung in Pulverform auf Kobaltbasis, Typ 5
Beschreibung
Kobalt-Chrom Aufbrennlegierung in Pulverform zur Herstellung von festsitzendem und herausnehmbarem Zahnersatz im Laserschmelzverfahren. Nach den Bestim-mungen der ISO 22674 fällt die Legierung unter die Kategorie Typ 5. Frei von Nickel, Beryllium, Cadmium und Blei.
Indikationen
-Einzelkronen
-Brücken in jeder Spannweite für die Verblendung mit Dentalkeramik
-Primärteleskope
-Vollgusskronen
-Vollgussbrücken
Zusammensetzung in Masseprozent:
| Co | 61% |
| Cr | 27,5% |
| W | 8,5% |
| Si | 1,6% |
| C,Fe,Mn | <1% |
Technische Eigenschaften:
| Dehngrenze (Rp 0.2) | 760MPa |
| Zugfestigkeit | 1090MPa |
| Bruchdehnung | 15% |
| Elastizitätsmodul | 225GPa |
| Vickers-Härte | 425 HV 10 |
| Dichte | 8,5g/cm³ |
| Solidus-Liquidus-Intervall | 1310-1410°C |
| WAK (20-500°C) | 14,5 x 10⁻⁶K⁻¹ |
| WAK (20-600°C) | 14,7 x 10⁻⁶K⁻¹ |
| Laserschweißbar | Ja |
| Typ (DIN EN ISO 22674) | 5 |
Mogucera C / CoCr Fräslegierung
Aufbrennfähige Nichtedelmetall-Dental-Fräslegierung auf Kobaltbasis, Typ 4
Beschreibung
CoCrMo-Fräsrohling mit idealen Eigenschaften zur Herstellung von Kronen, Brücken, Gerüsten, Teleskopen, Stegen, Geschiebearbeiten, implantatgetragenen Suprastrukturen und Abutments geeignet. MoguCera C basiert auf einer bereits in der konventionellen dentalen Gießtechnik bewährten Aufbrennlegierung. Frei von Nickel, Beryllium, Blei und Cadmium. Typ 4 nach DIN EN ISO 22674.
Vorteile für den Zahntechniker:
- Mittlere Härte von 288 HV 10
- Exzellenter Metall-Keramikverbund
- Biokompatibel
- Hervorragende Polierbarkeit und leichte Verarbeitung
- Laserschweißbar
Zusammensetzung in Masseprozent:
| Co | 65% |
| Cr | 28% |
| Mo | 5% |
| C,Si,Nb,Mn,Fe | <1% |
Technische Eigenschaften:
| Dehngrenze (Rp 0.2) | 413MPa |
| Zugfestigkeit | 597MPa |
| Bruchdehnung | 12% |
| Elastizitätsmodul | 206GPa |
| Vickers-Härte | 288HV10 |
| Dichte | 8,3g/cm³ |
| WAK (20-500°C) | 14,5 x 10⁻⁶K⁻¹ |
| WAK (20-600°C) | 14,8 x 10⁻⁶K⁻¹ |
| Laserschweißbar | Ja |
| Typ (DIN EN ISO 22674) | 4 |
Starbond Ti5 Titan Fräslegierung
Fräsrohling aus Grade 5 “ELI” (Extra Low Interstitial) Titanlegierung TiAl6V4. Konform mit ISO 5832-3 und ASTM F136
Beschreibung
Unsere Fräsrohlinge aus Titan bestechen durch ihre mechanischen Eigenschaften und hervorragender Qualität.
Fräsrohlinge aus Titanlegierungen eignen sich besonders für die Herstellung von Zahnimplantaten, Stegarbeiten, Abutments und Kombiarbieten.
Hervorragende Fräsbarkeit und eine sehr gute Biokompatibilität zeichnen diese Werkstoffe aus.
Vorteile für den Zahntechniker:
- Ideale mechanische Eigenschaften
- Exzellenter Haftverbund mit Titankeramiken
- Biokompatibel
- Extrem korrosionsbeständig
- Besonders patientenfreundlich durch geringe Wärmeleitfähigkeit
- Hervorragend u.a. zur Herstellung von implantatgetragenem Zahnersatz, Suprastrukturen, Stegen und Abutments geeignet
Zusammensetzung in Masseprozent:
| Ti | 89,4% |
| Al | 6,2% |
| V | 4% |
| N,C,H,Fe,O | <0,4% |
Technische Eigenschaften:
| Dehngrenze (Rp 0.2) | 837MPa |
| Zugfestigkeit | 921MPa |
| Bruchdehnung | 15% |
| Vickers-Härte | 330HV5/30 |
| Dichte | 4,4g/cm³ |
| Schmelzpunkt | 1650°C |
| WAK (20-600°C) | 10,3 x 10⁻⁶K⁻¹ |
| Typ (DIN EN ISO 22674) | 4 |
IPS e.max CAD Monolithic Solutions
Vielseitiger Einsatz
IPS e.max CAD Monolithic Solutions stehen für die effiziente Herstellung von vollanatomischen Restaurationen mit einem Höchstmass an Festigkeit, Belastbarkeit sowie bewährten klinischen Eigenschaften.
Gewählt wird aus einem umfassenden Indikationsspektrum – vom dünnen Veneer bis zur dreigliedrigen Brücke. Die vier verschiedenen Transluzenzstufen, A–D-, Bleach- sowie Impulse-Farben ermöglichen das Anfertigen von ästhetischen Restaurationen. Patientenindividuelle Charakteristika können zudem mittels der Mal- oder Cut-Back-Technik ergänzt werden.
IPS e.max CAD Monolithic Solutions – die Highlights
- Hochfeste Lithium-Disilikat-Glaskeramik (LS2) mit einer Biegefestigkeit von 530 MPa
- Ausgezeichnete Ästhetik mit optionaler Individualisierung
- Umfassendes Indikationsspektrum
- Hohe klinische Evidenz in langjährigen wissenschaftlichen Studien
- Schneller und wirtschaftlicher Verarbeitungsprozess
- Klinisch geprüfte und vielseitige Befestigungsmöglichkeiten
Indikationen
- Dünne Veneers (0,4 mm)
- Veneers
- Okklusale Veneers
- Inlays/Onlays
- Teilkronen/Kronen
- Minimal-invasive Kronen (1mm)
- Dreigliedrige Brücken (bis zum zweiten Prämolaren als endständiger Pfeiler)
Primotec PREMIOtemp MULTI
Perfekte Ästhetik
Primotec PREMIOtemp MULTI ist eine mehrschichtige PMMA-Fräsronde für dentale CAD/CAM Anwendungen. Das ultraästhetische Material für temporäre Versorgungen besteht aus mindestens fünf Farbverlaufsschichten, die dem Provisorium ein beeindruckend natürlichstes Aussehen verleihen. Die Oberseite der Fräsronde ist von Farbe und Transluzenz dem natürlichen Zahnschmelz nachempfunden und wird vom Farbverlauf her nach zervikal hin allmählich dunkler.
Sehr gute Bearbeitungseigenschaften
PREMIOtemp Blanks werden aus qualitativ hochwertigen PMMA (Polymethylmetacrylat) hergestellt. Zur Optimierung der Gitterstruktur sind spezielle Vernetzer und anorganische Bestandteile beigefügt. In Verbindung mit einem besonderen Polymerisations-Formpressverfahren werden die optimalen Materialeigenschaften der Blanks erreicht.
So bieten PREMIOtemp Multi Ronden überlegene mechanische Eigenschaften bei optimaler Transluzenz und lassen sich sehr gut fräsen.
Sie kombinieren also auf ideale Weise hohe Stabilität, natürlichste Ästhetik und leichte Verarbeitung.
Damit ist das PREMIOtemp Material sowohl für zementierte als auch für verschraubte Langzeitprovisorien bestens geeignet.
Die Fräsronden sind im Vita Farbspektrum A1 bis D4, in verschiedenen Durchmessern und bis 30mm Höhe für alle gängigen Fräsmaschinen erhältlich.
Weiterhin stehen als Sonderfarben aktuell PREMIOtemp MULTI Bleach und PREMIOtemp MONO A0 zur Verfügung.
Anwendungsgebiete
- Langzeitprovisorien
- temporäre Kurzzeitversorgungen
- provisorische Kronen, Brücken und Veneers
- Prototypen und Mock-Ups für verschraubte Implantatarbeiten
- temporär verschraubte Abutments
- Individuell gefräste Interims-Prothesenzähne
Vorteile
- PREMIOtemp MULTI PMMA verleiht Restaurationen einen besonders natürlichen Look
- Beeindruckende Ästhetik durch mindestens fünf Farbverlaufsschichten (Inzisal bis Zervikal)
- Homogene Multicolorschichtung ohne Trennlinien zwischen den Schichten
- Sehr gute Kombination von Farbe und Transluzenz
- Natürliche Fluoreszenz
- Für Langzeitprovisorien bestens geeignet
- Hoch biokompatibel
CAD/CAM hergestellte Schienen aus Polyamid
Polyamid, unser Material der Wahl, für digital hergestellte Aufbissschienen zeichnet sich durch hervorragende Materialeigenschaften aus. Es ist deutlich elastischer und bruchsicherer als PMMA oder Polycarbonat und enthält keine Rest-Monomere oder Weichmacher wie Bisphenol A.
Ihre Vorteile:
- kein Rest-Monomer
- keine toxischen oder allergenen Zusätze wie Phtalate und Bisphenole
- ein hochvernetztes Polyamid
- extrem flexibel und hohes Rückstellvermögen
- perfekte Passung
- geschmacksneutral
- kein Verzug
- hohe Stabilität
- spannungsfrei
- hohe Bruchfestigkeit und Dauer-Biegebelastung
- Plaqueresistent
NEU! 3D-Druck DLP-Kunststoff mit Memory-Effekt für flexible Aufbissschienen, Sportmundschutz, Indirect-Bonding-Trays
3D-Druck Resin für flexible Aufbissschienen mit Klasse 2a CE Zertifizierung!
Unser 3D-Druck Resin ist ein einzigartiges 3D Photopolymer für die digitale, additive Fertigung von flexiblen Aufbissschienen. Das flexible Resin ist als Medizinprodukt der Klasse 2a für den dauerhaften Einsatz zertifiziert. Das Material weist einen Memory-Effekt auf und kann durch Erwärmung optimal justiert werden. Es eignet sich daher auch für Fälle, in denen keine optimalen Abformungen vorliegen. Bisherige Erfahrungen zeigen eine lange Haltbarkeit ohne die sonst übliche Sprödigkeit.
Das Resin basiert auf Methacrylaten und kann daher, soweit die Flexibilität an der jeweiligen Stelle nicht dagegen spricht, mit herkömmlichen Kaltpolymerisaten ergänzt werden. Es ist frei von Weichmachern, Plastifikatoren und Bisphenol A (BPA).
Indikationen:
- flexible Aufbissschienen
- Sportmundschutz
- Übertragungsschienen KFO / Indirect-Bonding-Trays (IBT) (NEU hierfür: KeyPrint Ortho IBT)
- weiche Otoplastiken
Physikalische Eigenschaften:
- Shore Härte: 82 (Scale D)
- Elastizitätsmodul: 1356 MPa (ASTM D790)
- Biegefestigkeit: 2,6-4,4 MPa (ISO20795-2)
- Wasseraufnahme: <18 mikro-g/mm3 (ISO20795-2)
LuxaCam Composite
Ganz nah an der Natur
- Naturnahe Biegefestigkeits- und Bruchzähigkeitswerte für Stabilität und langfristige Haltbarkeit
- Verschleißarm und antagonistenfreundlich
- Speziell geeignet bei Bruxismus
- Kein Brennvorgang nötig
- Gute Polierbarkeit, überzeugende Ästhetik
- Natürliches Kaugefühl
Das Ziel: Mit LuxaCam Composite ein Material zu entwickeln, dass sich optimal in den Patientenmund einfügt und mit den gesunden Antagonisten harmoniert.
Die Lösung: LuxaCam Composite besteht aus einer Verbundmatrix von speziellen Polymeren, in die Silikatglasfüllstoffe eingebettet sind. Das Verhältnis zwischen beiden Materialien ist so optimiert, dass die mechanischen Werte den natürlichen Eigenschaften des Zahns bestmöglich entsprechen. Die hochverdichtete Verbundmatrix erlaubt einen röntgensichtbaren, härteangepassten und optimal elastischen CAD/CAM-Werkstoff.
Wie der echte Zahn
Die mechanische Belastbarkeit von LuxaCam Composite entspricht nahezu dem natürlichen Schmelz. Das Biegemodul von LuxaCam kommt den Elastizitätswerten von Dentin sehr nahe. Spannungen im Material, verstärkte Abrasion am Gegenkiefer und Beschädigungen der Antagonisten können so vermieden werden.
Ideal bei Bruxismus
Im Falle von Bruxismus helfen Schienen zwar bei den typischen Beschwerden, verhindern jedoch nicht dauerhaft die Schäden an den Zähnen. Minimalinvasive Kauflächen-Veneers aus LuxaCam Composite zur Korrektur der Bisslage schaffen dagegen effektiv und auf ganz natürliche Weise Abhilfe. Dank des dentinähnlichen Elastizitätsmoduls wirkt LuxaCam zuverlässig stoßdämpfend und antagonistenschonend.
Gut zu bearbeiten, schön anzusehen
LuxaCam Composite überzeugt mit einem ästhetischen Erscheinungsbild und exzellenter Polierbarkeit.
Die Ronden und Blöcke sind beim Schleifen sehr beständig gegenüber Abplatzungen und Rissbildungen. So erzielen Sie ganz leicht eine exzellente Kantenstabilität und glatte Ränder für brillante Versorgungen.
Indikationen
Table-Tops, Inlays, Onlays, Veneers, Teilkronen, Kronen und Brücken (auch mehrgliedrig, bis zu drei Brückengliedern)
Befestigung
Mit einem geeigneten Primer vorbehandeln (z.B. Luxatemp-Glaze & Bond) und im Anschluss mit einem dual- oder chemisch härtenden Befestigungscomposite befestigen.
- Hochvernetzte Polymerblends, mit 70 % Silikatglasfüllstoffe
- Dichte 1,89 g/cm³
- Elastizitätsmodul in GPa >= 8 GPa
- Biegefestigkeit in MPa >= 130 MPa
- Lieferbare Farben A1, A2, A3, B1, C2, D2, Bleach 2
In Bearbeitung
Zenotec PMMA Cast
Zenotec® PMMA Cast ist rückstandsfrei verbrennbar und somit besonders geeignet für die Herstellung verlorener Formen für die Gusstechnik, aber auch für die Press- und Überpresstechnik.
Der transparente Kunststoff lässt sich sehr leicht fräsen und weist auch bei großspannigen Arbeiten eine ausgezeichnete Formstabilität auf. Weiterhin stellt das Verfahren eine sehr schnelle und preiswerte Möglichkeit dar, sich von Funktionalität und der Passung der Arbeit auf dem zahntechnischen Modell zu überzeugen.
Produkteigenschaften
- Farbe: Clear
- Dicke: 18 mm
- Sehr gute Oberflächenbeschaffenheit insbesondere bei der Ausarbeitung der Fissuren
- Glasklare Oberfläche mit ausgezeichneter Transluzenz
- Rückstandsfrei ausbrennbar



















































