Primotec PREMIOtemp MULTI
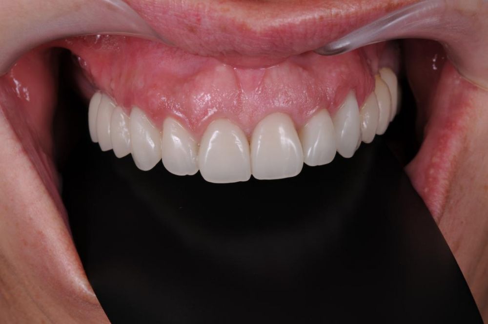
Perfekte Ästhetik
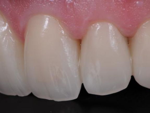
Primotec PREMIOtemp MULTI ist eine mehrschichtige PMMA-Fräsronde für dentale CAD/CAM Anwendungen. Das ultraästhetische Material für temporäre Versorgungen besteht aus mindestens fünf Farbverlaufsschichten, die dem Provisorium ein beeindruckend natürlichstes Aussehen verleihen. Die Oberseite der Fräsronde ist von Farbe und Transluzenz dem natürlichen Zahnschmelz nachempfunden und wird vom Farbverlauf her nach zervikal hin allmählich dunkler.




